Atnalı Fistül Neden Oluşur?
Atnalı fistül, anal fistül çeşitleri arasında en kompleks yapıya sahip olan ve tedavisi en çok uzmanlık gerektiren fistül türüdür. Makatın arka tarafında sağa ve sola doğru “at nalı” şeklinde yayılan bir tünel sistemi oluşturur. Bu nedenle çoğu hastada tekrarlayan apseler, sürekli akıntı ve geçmeyen ağrı gibi şikâyetlere yol açar.


En sık nedenler:
- Tekrarlayan Anal Apseler
Atnalı fistüllerin yüzde 70’inden fazlası, tam olarak iyileşmemiş ya da yanlış tedavi edilmiş apselerden kaynaklanır

- Crohn Hastalığı
Bağırsak duvarında derin inflamasyon oluşturan bu hastalık fistül riskini önemli ölçüde artırır.

- Geçirilmiş Anal Cerrahi
Daha önce yapılan hemoroid, fissür veya fistül ameliyatları bölgesel anatomiyi değiştirebilir ve yeni fistül gelişimine zemin hazırlayabilir.
- Travma
Anal bölgeye gelen darbeler, cerrahi yaralanmalar veya enflamatuvar süreçler fistül oluşumunu tetikleyebilir.
Atnalı Fistül Belirtileri
Atnalı fistül genellikle sinsi ilerler ve hastalar belirtilerin çoğunu başka sorunlarla karıştırabilir.
En yaygın şikayetler:
- Makat çevresinde ağrı, batma veya dolgunluk
• Tekrarlayan anal apse
• Sürekli veya ara ara gelen akıntı
• Oturmakla artan hassasiyet
• Kötü kokulu drenaj
• Alevlenme dönemlerinde ateş, halsizlik ve titreme
Bu yakınmalar bir süre geçse bile fistül kendiliğinden iyileşmez. Aksine zamanla yeni tüneller eklenerek daha karmaşık bir yapıya dönüşür.
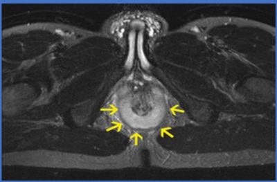
Atnalı Fistül Nasıl Teşhis Edilir?
Doğru tanı, başarılı bir tedavinin anahtarıdır.
Atnalı fistül değerlendirmesinde MR görüntüleme (MR ) altın standarttır.
- Fizik Muayene
- Dış ağız, akıntı ve inflamasyon belirtileri değerlendirilir.
• Makat çevresindeki şişlikler ve fistül kolları elle hissedilebilir.
- Anal Muayene
- İç ağızın yerini belirlemek için gereklidir.
• Hemoroid, fissür gibi eşlik eden patolojiler tespit edilir.
- MR
- Tüm tünellerin uzunluğu
• Yan dalların varlığı
• Sfinkter kaslarının ne kadar etkilendiği
• Atnalı yapının hangi düzeyde olduğu

MR, cerrahın operasyon planını en doğru şekilde yapmasını sağlar ve nüks oranını belirgin biçimde azaltır.
Atnalı Fistül Tedavisi Nasıl Yapılır?
Atnalı fistül tedavisi kişiye özel, anatomik yapıya göre planlanması gereken bir süreçtir. Atnalı fistülün doğru yönetimi, erken tanı + doğru görüntüleme + uygun cerrahi teknik üçlüsüne dayanır.
Tedavinin ana prensibi:
• Tüm fistül hatlarını temizlemek
• Sfinkter kaslarını korumak
• Nüks (tekrarlama) ihtimalini en aza indirmek
Cerrahi Tedavi Yöntemleri
“Gevşek seton ile enfeksiyonun kontrolü + tüm tünellerin anatomik olarak ortaya konduğu cerrahi + sfinkter koruyucu teknik kombinasyonu”
- Gevşek Seton Uygulaması (Hasar control, Yangın söndürme)
Gevşek seton, fistülün drenajını sağlar, enfeksiyonu kontrol altına alır ve ileride yapılacak cerrahi için güvenli bir zemin oluşturur. İlk basamak tedavide olmazsa olmazdır. - LIFT (Ligasyon Interesfinkterik Fistül Traktı)
Sfinkter koruyucu bir yöntemdir. Derin yerleşimli atnalı fistüllerde, uygun anatomi varsa oldukça başarılıdır. - Endoanal veya Perianal Cerrahi Eksizyon
Atnalı yapıyı takip eden tüm yan tüneller temizlenir. Gerekirse çift taraflı drenaj kesileri yapılır.
- Flep Yöntemleri
İç ağızın kapatılmasını sağlar. Kompleks vakalarda tercih edilir. - Modifiye Hanley Prosedürü
İşlevi: Klasik ve Etkili Kombine Yaklaşım
Bu yöntem, cerrahi eksizyon ve drenaj prensiplerinin sistematize edilmiş bir kombinasyonudur. Ana fistül traktı ve arkadaki derin apse boşluğu (posterior deep space) temizlenir, ancak posterior (arka) orta hattaki sfinkter kas lifleri korunur. Fistülün her iki yan uzantısına drenaj sağlanır.
En İyi Uygulandığı Durumlar: Klasik posterior (arkada yerleşimli) atnalı fistüllerde altın standart tedavi seçeneğidir. Uzun dönem başarı oranı yüksektir.
ASCRS ve ESCP Kılavuzları Özeti (Türkçe Çeviri)
Atnalı Fistül Tedavisi ile İlgili Önemli Kılavuz Önerileri:
- Zorlu bir cerrahi prosedürdür.
Atnalı fistül cerrahisi, anatomik kompleksliği nedeniyle deneyim ve özel beceri gerektirir. - Acil Fistülotomi kaçınılmalı .
- Hanley prosedürü iyi bir seçenektir.
Klasik Hanley tekniği, posterior (arka) atnalı fistüllerde kanıta dayalı ve güvenilir bir yöntem olarak kabul edilir. - Modifiye Hanley en iyi seçenektir.
Güncellenmiş ve sfinkter kaslarını daha iyi koruyan Modifiye Hanley tekniği, birçok vaka için altın standart tedavi olarak görülmektedir. - Gevşek seton kullanılabilir
İlk aşamada enfeksiyonu kontrol altına almak ve drenaj sağlamak için gevşek seton yerleştirilebilir.
- Kılavuzlar: ASCRS (American Society of Colon and Rectal Surgeons) ve ESCP (European Society of Coloproctology) rehberleri
Tedaviden Sonra İyileşme Süreci
Atnalı fistül tedavisi sonrasında iyileşme süreci fistülün karmaşıklığına göre değişebilir.
Genellikle:
• İlk birkaç gün hassasiyet normaldir
• Akıntı giderek uzun bir sürecde azalır
• Seton varsa kontrollü şekilde dokunun iyileşmesine katkı sunar
• Düzenli pansuman ve hijyen önemli bir rol oynar
Nüks oranı basit fistüllere göre daha yüksek olsa da doğru teknikle bu risk minimuma indirilebilir.
Ne Zaman Doktora Başvurulmalı?
Aşağıdaki durumlardan biri varsa gecikmeden bir proktoloji uzmanına başvurulmalıdır:
- Makat bölgesinde tekrarlayan apse
• Kötü kokulu akıntı
• Ağrı ve ateş
• Uzun süredir kapanmayan yara
• Geçmişte fistül ameliyatı olup tekrar şikayet başlayanlar
Erken tanı ve doğru cerrahi planlama, atnalı fistülün tedavisinde başarının en güçlü belirleyicisidir.